Qu’est-ce qu’un méningiome ?
Un méningiome est une tumeur intra-crânienne développée aux dépens des méninges qui sont les enveloppes protectrices du cerveau. Le méningiome va donc se développer en comprimant très progressivement le cerveau, ce qui va provoquer des symptômes. Les méningiomes sont habituellement découverts vers 60 ans et sont plus fréquents chez la femme (2 femmes pour un homme).
Quels sont les facteurs favorisant la survenue d’un méningiome ?
La très grande majorité des méningiomes sont liés “au hasard”, c’est-à-dire qu’ils surviennent sans facteur favorisant. Néanmoins, il a été découvert ces dernières années que certaines hormones pouvaient favoriser la survenue de méningiomes : l’acétate de cyprotérone (Androcur), l’acétate de chlormadinone (Luteran) et l’acétate de nomegestrol (Lutenyl). Ces 3 molécules ont fait l’objet d’études par l’Agence de Nationale de Sécurité du Médicament (ANSM) (PDF disponibles ci-dessous). Les méningiomes peuvent également être favorisés par des antécédents de radiothérapie crânienne. Enfin les méningiomes surviennent chez près de 50% des patients atteints de Neurofibromatose de type 2, une maladie génétique dont notre service est centre de référence.
Quels sont les symptômes révélateurs ?
Les méningiomes peuvent être révélés par des maux de tête, des difficultés d’apparition progressive à mobiliser une partie du corps, à sentir ou à parler, voire des troubles du comportement. Il n’est pas rare de se voir diagnostiquer un méningiome sur une imagerie prescrite dans un autre objectif. Une prise en charge neurochirurgicale est alors recommandée.
Comment fait-on le diagnostic ?
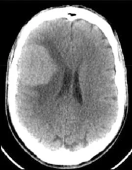
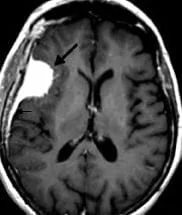
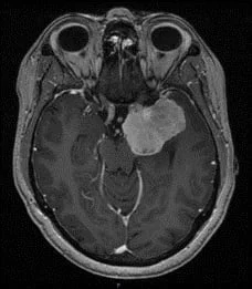
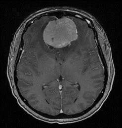
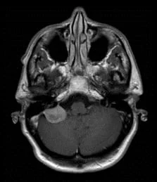
Un méningiome peut être diagnostiqué au scanner où il apparaît comme une masse ronde à la périphérie du cerveau, avec un épaississement de l’os au niveau de sa base d’insertion sur la méninge.


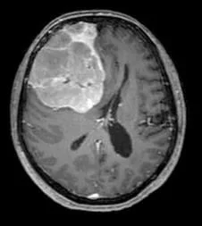
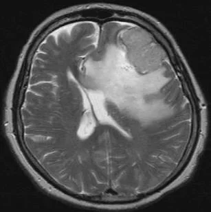
Il est plus fréquemment retrouvé sur une IRM sous forme d’une masse “blanche” après injection du produit de contraste intraveineux et entourée d’un œdème. Les méningiomes peuvent se rencontrer dans différentes localisations intra-crâniennes, plus ou moins facilement accessibles et qui conditionneront la technicité et les risques du geste qui vous sera proposé par votre chirurgien.

frontal droit





du rocher droit
Comment traite-t-on les méningiomes ?
En cas de découverte fortuite, les méningiomes peuvent être simplement surveillés, en raison de leur nature à priori bénigne. Si un traitement vous est proposé par votre chirurgien, il pourra consister en une chirurgie ou une irradiation ciblée par radiochirurgie Gamma-Knife.