Chirurgie des adénomes hypophysaires

Points forts

Les adénomes hypohysaires sont des tumeurs bénignes situées dans une glande à la base du cerveau, l’hypophyse. Ils peuvent être traités par des médicaments ou la chirurgie, qui se fait habituellement par le nez, ne nécessitant pas d’ouverture de la boîte crânienne.

Offre de soins

Vos spécialistes

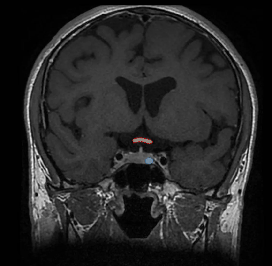
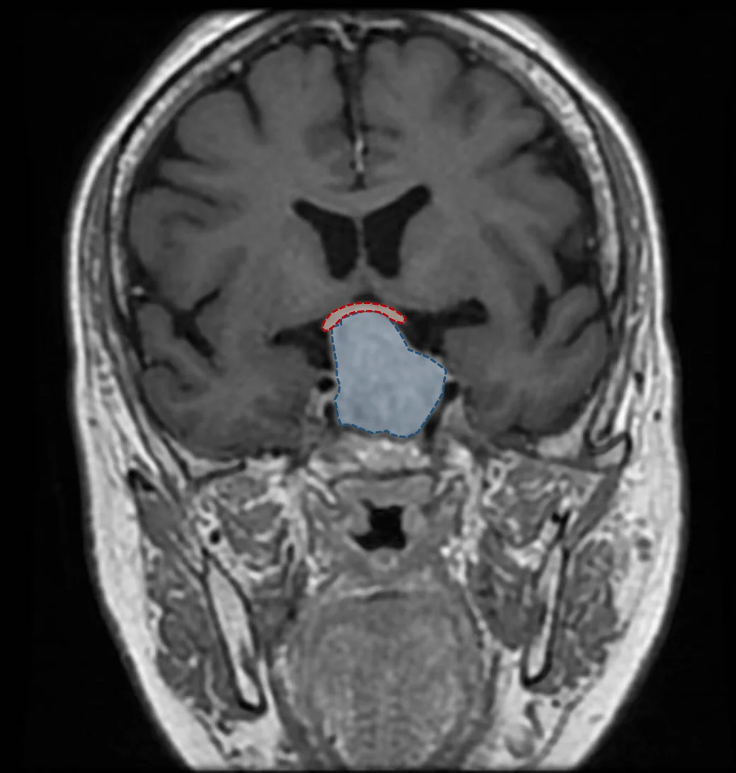
Les adénomes hypophysaires sont des tumeurs développées à partir des cellules de l’hypophyse, une glande située sous le cerveau. Ils représentent entre 10 et 20% des tumeurs intracrâniennes de l’adulte.

L’hypophyse sécrète plusieurs hormones qui régulent elles-mêmes la sécrétion d’un grand nombre d’hormones du corps humain, comme le cortisol et les hormones thyroïdiennes. Les adénomes hypophysaires peuvent donc déréguler les sécrétions hormonales de l’organisme et être à l’origine d’une hyper- ou d’une hypo-sécrétion d’hormones qui vont révéler l’ adénome. 

Les adénomes hypophysaires sont en grande majorité des tumeurs bénignes, la fréquence exacte des adénomes agressifs étant encore méconnue, mais pouvant représenter jusqu’à 15% de ces tumeurs. 


Quels sont les facteurs de risque de survenue des adénomes hypophysaires ?

Il n’existe à l’heure actuelle aucun facteur de risque environnemental connu d’adénome hypophysaire. 


Quels sont les symptômes révélateurs d’ un adénome hypophysaire ?

Les adénomes hypophysaires se révèlent classiquement par deux cortèges de symptômes: les symptômes liés à leur volume, qui peut être responsable de maux de tête ou de troubles du champ visuel (habituellement une moindre capacité à distinguer les objets sur les côtés, à la périphérie du champ visuel), et les symptômes liées à l’hyper-ou l’hypo-sécrétion d’hormones. Ces symptômes peuvent être très divers, incluant notamment une fatigue inhabituelle,  une prise de poids, un trouble des règles, une augmentation de la taille des mains et des pieds…Un adénome hypophysaire peut également se révéler de manière fortuite sur une IRM demandée pour un autre motif et ne nécessitera alors pas obligatoirement un traitement. 


Comment fait-on le diagnostic d’un adénome hypophysaire ?

Le diagnostic d’adénome hypophysaire repose sur deux éléments que sont l’imagerie médicale et le bilan endocrinien. L’examen de référence à réaliser dans la recherche d’un adénome est une IRM cérébrale, qui permettra d’en évaluer la taille et le retentissement sur les structures adjacentes, notamment les voies visuelles. Les adénomes sont habituellement classés en deux groupes: les micro-adénomes (de moins de 10 mm de diamètre) et les macro-adénomes (de plus de 10 mm de diamètre). Le bilan endocrinien va quant à lui permettre de déterminer le niveau de sécrétion des différentes hormones sécrétées par l’hypophyse ainsi que leur retentissement sur l’organisme. 


Quel est le traitement d’un adénome hypophysaire ?

Certains adénomes hypophysaires peuvent être traités médicalement alors que d’autres ne pourront être guéris que par la chirurgie. Le choix du traitement repose sur plusieurs critères déjà évoqués précédemment (taille, retentissement sur les voies visuelles, type de sécrétion hormonale associée). Dans certains cas, un traitement complémentaire par radiothérapie peut également être proposé. 

La complexité de la décision thérapeutique nécessite une équipe hautement spécialisée comme celle de notre service incluant des neurochirurgiens, des neuroradiologues, des endocrinologues et des radiothérapeutes. 


Quelles sont les particularités de la chirurgie d’un adénome hypophysaire ?

De par leur position à la base du cerveau, au sein de la selle turcique, une structure osseuse contenant l’hypophyse, les adénomes hypophysaires peuvent dans un grande majorité des cas être opérés sans ouvrir la boîte crânienne en passant par l’intérieur des fosses nasales. La chirurgie est habituellement courte (30 à 60 minutes), sans cicatrice visible, avec une hospitalisation en moyenne de 3 jours.

En savoir plus sur cette pathologie

Nos publication scientifiques

Orthotopic pituitary tumors generated by stereotaxic GC cell injection in immunocompetent rats.

Lefevre E, Chasseloup F, Ladurelle N, Janot C, Thibaud JL, Beau I, Adam C, Courtils CD, Zizzari P, Carpentier A, Kamenický P. Acta
Neuropathol Commun. 2025 Jul 5;13(1):149.

Consulter la publication

Clinical and therapeutic implications of cavernous sinus invasion in pituitary adenomas.

Lefevre E, Chasseloup F, Hage M, Chanson P, Buchfelder M, Kamenický P.Endocrine.
2024 Sep;85(3):1058-1065

Consulter la publication

Management of pituicytomas: a multicenter series of eight cases

Lefevre E, Bouazza S, Bielle F, Boch AL.

Pituitary. 2018 Oct;21(5):507-514.

Consulter la publication

Retour en haut