Qu’est-ce qu’un canal lombaire étroit ?
Le canal lombaire étroit est une pathologie touchant le plus souvent la colonne vertébrale lombaire et liée à l’arthrose. L’arthrose conduit à une épaississement des structures osseuses (massifs articulaires, ligaments) entourant les racines nerveuses au sein du canal rachidien ce qui entraîne une compression des nerfs destinés aux membres inférieurs et au bassin.
Quels sont les symptômes révélateurs d’un canal lombaire étroit ?
Un canal lombaire étroit se manifeste habituellement par des douleurs ou des symptômes sensitifs à type de fourmillements, engourdissements, pouvant toucher une ou deux jambes. Ces douleurs et fourmillements suivent un trajet dépendant du nerf touché mais qui passe habituellement par la fesse, la face postérieure des cuisses et la face postérieure des mollets. Des douleurs lombaires peuvent s’y associer. La particularité de ces symptômes est leur survenue à la marche, après un périmètre précis, qui a tendance à diminuer au fil des années. Ces douleurs obligent habituellement la personne à s’arrêter avant de pouvoir reprendre la marche (ce qui correspond au phénomène de claudication radiculaire intermittente).
Afin de réduire ces symptômes, le patient peut adopter une attitude spontanément penchée en avant, comme s’il s’appuyait sur un caddie de supermarché, ce qui correspond au “signe du caddie”.
Si le rétrécissement du canal devient très important, le patient peut présenter des troubles neurologiques (sensitifs, moteurs, urinaires) qui apparaissent néanmoins rarement et tardivement.
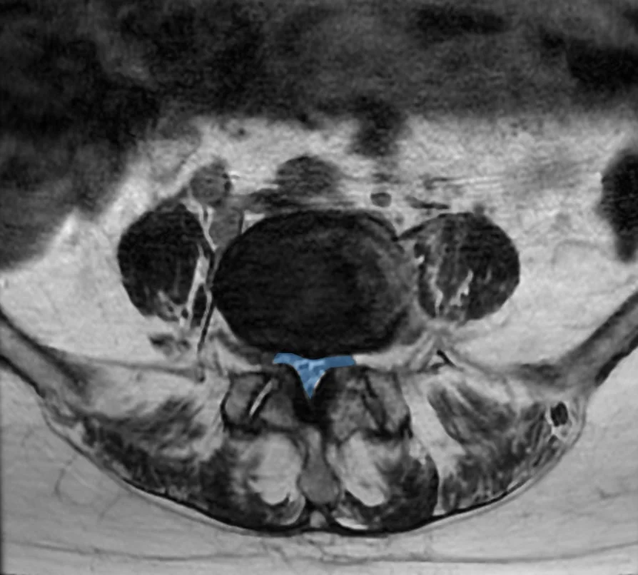
À droite : canal lombaire étroit (en bleu) où les racines nerveuses sont comprimées.

Comment fait-on le diagnostic d’un canal lombaire étroit ?
Les deux examens réalisés dans le bilan d’un canal lombaire étroit sont le scanner et l’IRM lombaires. L’IRM permet d’évaluer le degré de compression des nerfs et les niveaux vertébraux touchés. Elle évalue plus précisément la compression liée aux “tissus mous” (disques et ligaments). Le scanner va permettre d’obtenir des informations complémentaires sur la compression liée aux éléments osseux et sur une éventuelle instabilité sous-jacente de la colonne vertébrale. Pour compléter l’évaluation d’une potentielle instabilité, votre chirurgien pourra demander la réalisation de radiographies dites “dynamiques” prises dans différentes positions (flexion et extension).
Comment traite-t-on un canal lombaire étroit ?
Le traitement du canal lombaire étroit repose en premier lieu sur des traitements médicamenteux. En cas d’échec, un traitement chirurgical pourra vous être proposé. Il est donc à priori inutile de consulter un neurochirurgien avant d’avoir réalisé un traitement médical complet.
Le traitement médical initial va donc reposer sur des anti-douleurs, des anti-inflammatoires qui peuvent être associés à de la kinésithérapie et au port d’une ceinture lombaire. En cas d’inefficacité de ce premier traitement, il est possible de réaliser une infiltration sous contrôle radio ou scanner d’anti-inflammatoires (corticoïdes) directement à proximité du nerf à l’origine de vos douleurs afin de les soulager. Si les infiltrations s’avèrent elles aussi inefficaces, une chirurgie va vous être proposée.
L’intervention de référence (laminectomie) consiste à inciser le dos en regard des vertèbres touchées, à écarter les muscles puis à ouvrir le canal vertébral en enlevant les éléments qui le ferment en arrière: les apophyses épineuses, les lames et les ligaments épaissis à l’origine de la compression des nerfs. On va ainsi élargir le canal, libérer les nerfs et soulager les douleurs. Ce geste ne compromet pas à priori la stabilité de votre colonne si le neurochirurgien à décider de le réaliser isolément.
Néanmoins, il existe certains cas où le bilan radiologique pré-opératoire révèle une instabilité sous-jacente à votre canal lombaire étroit, notamment s’il existe un décalage des vertèbres (spondylolisthésis). Dans ce cas, le chirurgien peut être amené à proposer une fixation des vertèbres en complément du geste de laminectomie pour garantir la stabilité de la colonne vertébrale dans les suites de l’intervention.
À droite : exemple de spondylolisthésis (en pointillés rouges) à comparer à l’alignement normal des vertèbres (pointillés bleus).



