Quels sont les symptômes révélateurs ?
Les tumeurs opérées au niveau de la moelle épinière sont habituellement bénignes et lentement évolutives. Elles se révèlent par un syndrome de compression de la moelle épinière qui peut associer des difficultés à la marche ou dans les mouvements fin des doigts, des troubles de la sensibilité des bras et/ou des jambes au toucher et/ou à la température voire plus rarement des difficultés à uriner ou à aller à la selle.
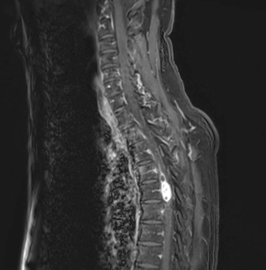
Comment fait-on le diagnostic ?
Le diagnostic est fait classiquement sur l’ IRM de la moelle épinière avec injection de Gadolinium. En fonction de la localisation et de l’aspect de la tumeur, votre neurochirurgien pourra vous demander de compléter ce bilan par un scanner et/ou une artériographie médullaire, qui pourra être organisée dans le service de Neuroradiologie interventionnelle situé dans le bâtiment Babinski (Pr Clarençon).





Quelle est la prise en charge proposée ?
Ces tumeurs sont traitées par une chirurgie qui permet habituellement une exérèse complète et une guérison de la maladie. Pour les tumeurs intra-médullaires (situées à l’intérieur de la moelle épinière) la chirurgien peut être aidé par la réalisation d’un monitoring per-opératoire des voies sensitives et motrices qui permet de limiter le risque de l’intervention (Dr Isabelle Bernat, Service d’ Electrophysiologie Clinique).
En fonction de votre handicap neurologique lié à la tumeur, l’hospitalisation en neurochirurgie pourra être suivie d’un séjour en service de rééducation spécialisée, afin de favoriser une récupération complète de vos fonctions.